LECENJE KOSTIJU I ZGLOBOVA
MADU (Magnetsko Dubinsko Unipolarno orijentisalno polje) metoda lečenja je nova tehnologija u medicini, zasnovana na magnetoterapiji i drugim neinvazivnim/bezbolnim metodama lečenja. Potvrđena je od strane Ministarstva zdravlja Republike Srbije 2007. godine. Ova metoda primenuje nova medicinska sredstva, ubrzava i poboljšava savremene načine lečenja.
Više o nama na: www.madumagnet.com
Terapijski efekti MADU metode lečenja su:
• smanjivanje bola;
• smanjivanje otoka i zapaljenja;
• ubrzavanje zarastanja rana i kostiju;
• poboljšavanje pokretljivosti zglobova;
• poboljšanje krvotoka i ishrane tkiva;
• poboljšavanje obnavljanja različitih tkiva;
• posebno efikasno obnavljanje hrskavice – jedinstveno u svetu.
Registrovana nova metoda lečenja MADU je posebno uspešna u slučajevima:
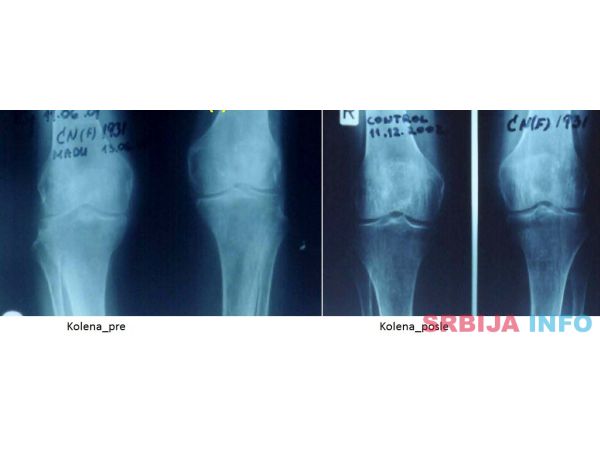
• degenerativnih koštano-zglobnih oboljenja i povreda (obnavljanje međuzglobnog prostora kičmenih pršljenova; obnavljanje zglobnog prostora kuka; obnavljanje zglobnog prostora kolena; zarastanje komplikovanog preloma pršljena; zarastanje preloma drugih kostiju; obnavljanje potpornog tkiva zubâ u slučajevima paradontopatije);
• dodatnog lečenja osteoporoze (vraćanje gustine kosti);
• oporavka krvnih sudova (zarastanje venskih rana; poboljšanje krvotoka kod gangrene);
• oporavka perifernih živaca;
• smanjenja uvećane prostate;
• lečenje disajnih problema (haloterapija - slana soba) - sinusi, astma, alergije;
• smanjenja telesne težine;
• odvikavanja od pušenja;
• pomeranja i izmeštanja stranih gvožđevitih tela iz ljudskog organizma (geleri, igle, i sl. ).
Sa najlepšim željama za Vaš uspešan oporavak – dobro došli!
Za sve informacije Telefoni: +381 11 2920195; +381 65 2920195; +381 63 8237829
Mail adresa: madu.magneti@gmail.com
- Nenad offline
- član od 18.01.2018
- 0638237829
- 0 0 Ocenite
- Svi oglasi oglašivača (546)








